无障碍浏览
特色医疗技术

当前位置:首页 > 医疗服务 > 特色医疗技术

【肿瘤与血管介入微创治疗中心】3D打印模板导航粒子植入,医工交叉赋能肿瘤精准治疗

发布时间 :2025-12-24 16:39 | 来源:本网

  近日,我院肿瘤与血管微创介入治疗中心联合放疗中心成功应用3D打印个体化模板导航技术,为一名肝癌右胸壁巨大转移灶患者实施CT引导下碘125放射性粒子植入术。该技术通过术前影像模拟规划-术中3D模板导航-术后即时验证的闭环流程,显著提升碘125放射性粒子的植入效率及植入的精准性和可控性,是医工交叉解决临床实际需求的典范。

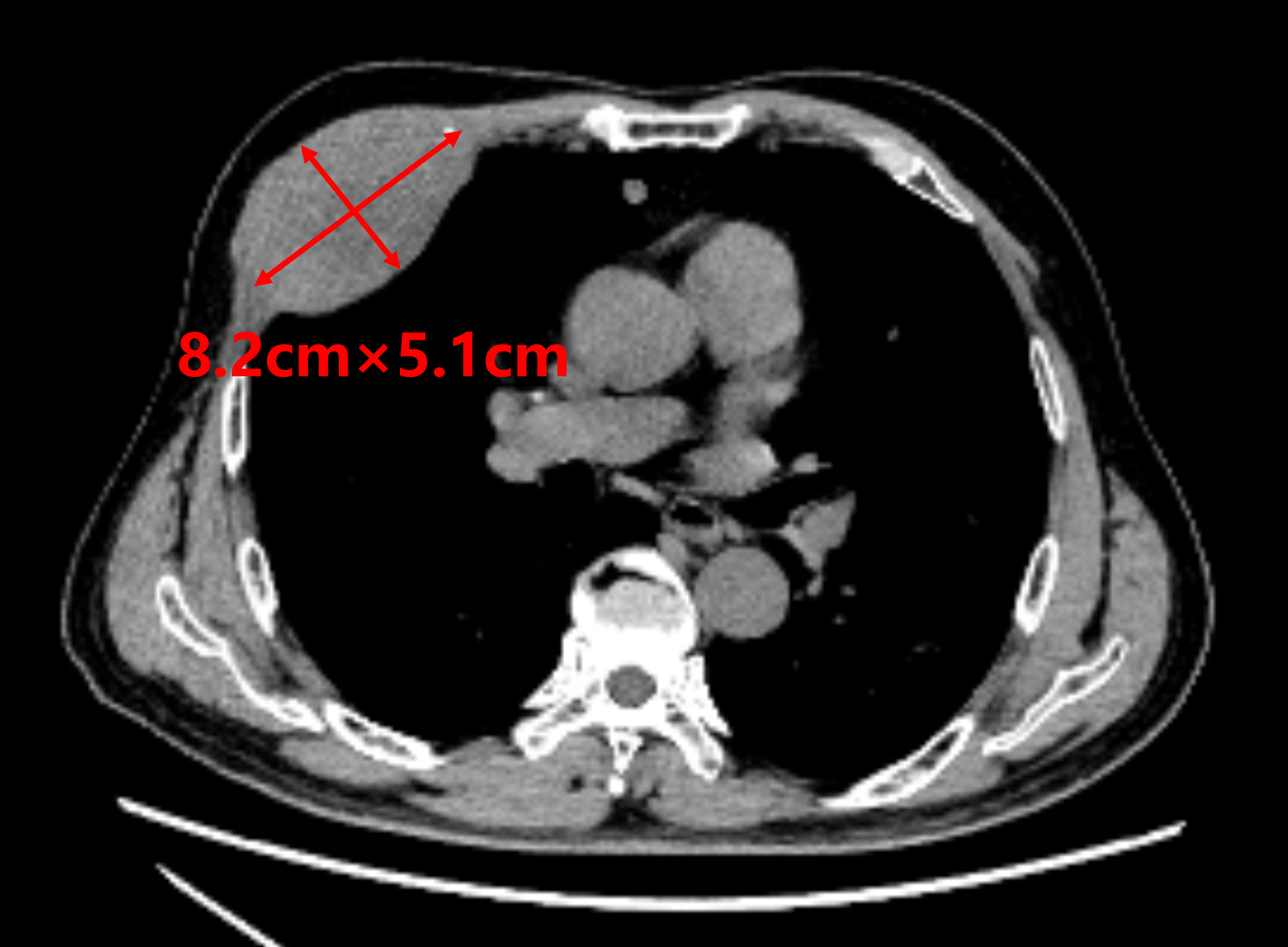
  患者1年前罹患原发性肝癌,经多学科综合治疗后肝内肿瘤控制稳定,但近期出现右胸壁局部疼痛不适,严重影响睡眠等日常生活。进一步检查发现右第4前肋骨骨质破坏伴软组织肿块形成,大小约8.2cm×5.1cm,提示为肝癌右胸壁转移。
 
  针对此类位于胸壁的局限性转移病灶,碘125放射性粒子植入是一种有效的局部内放射治疗手段。鉴于该患者胸壁病灶范围大,为达到理想的治疗疗效及最小的副反应,需通过多针道、高空间一致性穿刺操作技术才能实现碘125粒子剂量辐射的高度适型,而传统CT引导穿刺方式无法确保实现最优剂量分布与高效率操作。
  为应对这一临床挑战并追求治疗的整体最优解,肿瘤与血管微创介入治疗中心余文昌主任医师团队接诊患者后,与我院放疗中心高级工程师柏朋刚带领的物理师团队深度协作,为该患者创新性引入3D打印个体化模板导航碘125放射性粒子植入技术。其核心优势在于,将大量空间坐标点的复杂穿刺植入计划,从“依赖分步经验计划”升级为“依从3D整体导航”,极大提高了穿刺植入操作的精准度和效率。
 
  基于患者术前CT影像数据,医学物理师采用自主研发系统在三维空间内完成了覆盖病灶的整体剂量规划与针道路径优化,形成一份详细的3D插植计划,并据此计划采用3D打印技术打印出带孔道的导航模板,每一个孔道都精确对应预定的穿刺角度和深度,避免了常规穿刺时繁琐的多次测算与反复定位,将多针穿刺过程整合为高效且一致的操作。
  术中,余文昌主任医师团队在CT引导下,借助3D打印模板高效、流畅地完成18针的精准定位与进针操作,穿刺过程稳定可控,碘125粒子严格按照术前规划依次植入靶区。术后即刻ECT扫描见靶区辐射分布均匀,覆盖良好,即时剂量验证与术前规划高度吻合。粒子植入术中、术后未见并发症发生,患者恢复良好,日前已顺利出院。
 
  余文昌主任医师介绍,当面对需要多针道、高密度植入碘125粒子行内放射治疗的大病灶时,治疗的挑战不仅在于单点的精准,更在于全部布控的系统性与高效性。3D打印模板的引入,正是为了解决这一“量变带来的质变”挑战。它将复杂的多针植入,转化为按标准化模拟计划执行的流程,确保了粒子分布与理想剂量计划的高度一致。这种标准化、数字化的治疗模式有效提升了治疗效果与手术效率,减少了对周围正常组织的损伤。最终让患者从这种系统性优化中获益,获得更可靠的治疗效果与更短的手术时间,并显著提升了整体就诊体验。
  方主亭副院长表示,此次胸壁大病灶碘125放射性粒子植入病例的成功实践,是医院以临床需求为导向,持续推进多学科协作(MDT)与医工交叉融合的具体体现。医院将进一步推动3D打印、医学物理、人工智能等前沿技术在肿瘤微创治疗中的规范化应用,不断提升精准诊疗能力和学科综合实力,为患者提供更加个体化、精准化、高效化的治疗选择,让技术创新成果惠及更多患者。
 
  复旦大学附属肿瘤医院福建医院肝胆胰肿瘤诊治中心作为国家肿瘤区域医疗中心建设的创新项目,整合外科、内科、介入科、放疗科等方面优质资源和先进技术,为患者提供一站式、一体化服务。是国内最早一批开展钇90-SIRT肝肿瘤介入治疗的单位,也是福建省首家开展该技术的单位。
  肿瘤与血管微创介入治疗中心是肝胆胰肿瘤诊治中心重要组成部分,是国家肿瘤区域医疗中心建设优先发展科室。是福建省内具有完善的肿瘤介入治疗体系的少数医院之一,临床,教学,科研同步发展,具有丰富的血管介入治疗手段的同时还有丰富的非血管介入治疗技术,常规开展肝动脉化疗栓塞术(TACE)、肝动脉持续灌注化疗术(HAIC)、肝动脉栓塞术(TAE)、肝动脉放射性栓塞术(钇90微球放射性介入治疗)、经皮门静脉栓塞术(PVE)、经皮食管胃底曲张静脉栓塞术(PTVE)、经皮脾动脉栓塞术(PSE)、经颈静脉门体静脉分流术(TIPS)、门静脉支架+125I粒子条植入术、胆道支架+125I粒子条植入术、射频消融术(RFA)、微波消融术(MWA)、经皮碘125放射性粒子植入术、经皮肝穿刺胆道引流管置入术(PTCD)、腔静脉支架植入术、髂静脉支架植入术,腹腔神经阻滞术、静脉输液港植入术、胸腹主动脉瘤及夹层腔内隔绝术、外周血管血栓机械取栓以及血管闭塞支架成型术等。对头颈部肿瘤、胸部肿瘤、肝胆胰脾肿瘤、消化道肿瘤、妇科肿瘤、软组织肉瘤、肿瘤相关血管疾病以及动脉瘤、动脉夹层、外周血管闭塞、动静脉血栓性疾病的介入治疗有丰富经验。
  肿瘤与血管介入科/供稿
  刘伟夫/文
  余文昌/审
附件下载:
相关文档