无障碍浏览
特色医疗技术

当前位置:首页 > 医疗服务 > 特色医疗技术

【肿瘤与血管介入微创治疗中心·医疗案例】“钇”针击破癌细胞,助肝癌患者重燃希望

发布时间 :2024-07-31 20:34 | 来源:本网

  “病灶完全坏死。”近日,叶先生(化名)拿到复查报告单时,心中百感交集。此时,距离他在我院肿瘤与血管介入微创治疗中心接受钇90放射性微球精准介入治疗刚过去3个月。

  叶先生今年49岁,4个月前在当地医院确诊肝癌,馒头大的肿瘤位于其肝脏的膈顶部,同时他患有“乙型肝炎肝硬化”,ICG 15分钟滞留率高达35.5%。这意味着他的肝储备功能受损严重,无法耐受手术切除。
  
 
磁共振检查显示肿瘤位处肝脏膈顶部
  叶先生经多方打听了解到我院肿瘤与血管介入微创治疗中心在治疗不可切除肝癌方面有着丰富的经验,遂求诊我院肿瘤与血管介入科胡育斌主诊医师团队。通过我院肝胆胰中心多学科讨论,最终为他制定了“钇90放射性微球精准介入治疗”的方案。
  在方主亭副院长、林海澜主任的带领下,胡育斌副主任医师为患者实施了钇90放射性微球精准介入治疗。肿瘤介入微创治疗具有创伤小、恢复快、住院时间短的优势,术后仅一天,叶先生就能下地行走,随后顺利出院。
  
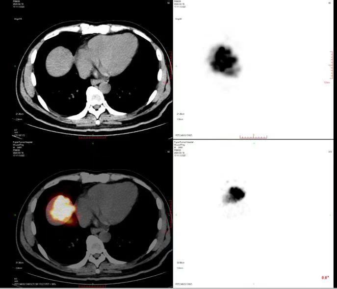
术后即时PET-CT显示钇90放射性微球完全分布在肿瘤内,正常肝实质未受影响
  出院后,叶先生牢记胡育斌副主任医师的叮嘱——“记得回来复查看看啊”。近日,他怀着紧张的心情前来复查,也迎来了病灶完全坏死的好消息。
  
MRI显示疗效达到完全缓解(CR)
  方主亭副院长介绍,肝癌起病隐匿,我国多数肝癌患者在初诊时就已进入中晚期,错失手术切除的机会。钇90放射性微球介入治疗适用于无法手术切除肝癌的患者。钇90放射性微球通过肝肿瘤供血动脉精准注入到肿瘤组织内部,发射高能量β射线杀伤癌细胞,具有高效缩瘤、安全性高的优点。
  钇90放射性微球介入治疗技术于2021年引入中国大陆,国内多家医院正陆续开展该技术。福建省肿瘤医院是福建省内首家开展钇90树脂微球介入治疗的医院,手术量位居全省第一,在该领域积累了丰富的治疗经验。
  
科室介绍
  复旦大学附属肿瘤医院福建医院作为国家肿瘤区域医疗中心建设项目,由复旦大学附属肿瘤医院和福建省肿瘤医院融合发展形成,构建理念融合、学科融合、技术融合、队伍融合、管理融合、服务融合和文化融合的新体系。福建医院肝胆胰肿瘤诊治中心开放床位200张,是由肝胆胰外科、介入治疗、肝胆胰肿瘤内科、腹部放疗、中西医结合等专业技术团队组成的一体化运行的临床专科,结合影像、超声、病理、内镜等专业,形成紧密型的学科群,建立完善的综合诊疗技术体系并不断迭代更新,保持前沿技术福建转化的可持续发展能力,满足不同病人的个体化诊疗需求。
  肿瘤与血管介入科是肝胆胰肿瘤诊治中心重要组成部分,是国家肿瘤区域医疗中心建设优先发展科室。是福建省内具有完善的肿瘤介入治疗体系的少数医院之一,临床,教学,科研同步发展,具有丰富的血管介入治疗手段的同时还有丰富的非血管介入治疗技术,常规开展肝动脉化疗栓塞术(TACE)、肝动脉持续灌注化疗术(HAIC)、肝动脉栓塞术(TAE)、肝动脉放射性栓塞术(钇90微球放射性介入治疗)、经皮门静脉栓塞术(PVE)、经皮食管胃底曲张静脉栓塞术(PTVE)、经皮脾静脉栓塞术(PSE)、经颈静脉门体静脉分流术(TIPS)、门静脉支架+125I粒子条植入术、胆道支架+125I粒子条植入术、射频消融术(RFA)、微波消融术(MWA)、经皮碘125放射性粒子植入术、经皮肝穿刺胆道引流管置入术(PTCD)、腔静脉支架植入术、髂静脉支架植入术、深静脉血栓清除术、腹腔神经阻滞术、静脉输液港植入术等。对头颈部肿瘤、胸部肿瘤、肝胆胰脾肿瘤、消化道肿瘤、妇科肿瘤、软组织肉瘤及肿瘤相关血管疾病的介入治疗有丰富经验。
附件下载:
相关文档