无障碍浏览
新闻中心

当前位置:首页 > 新闻中心

【鼻咽癌诊治中心】男子颌下肿物,竟是晚期下咽癌,多线精准治疗后……

发布时间 :2025-07-14 19:45 | 来源:本网

  近日,47岁的张先生(化名)再次到我院鼻咽癌诊治中心复查。 这位曾被确诊为局部晚期下咽癌的患者,经过一系列精准治疗后,病情得到有效控制,生活质量明显改善。

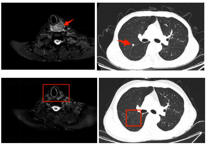
  2023年8月,张先生因“发现左颌下肿物3个月”到我院鼻咽癌诊治中心就医,完善病理、影像学检查后明确为晚期下咽癌。由于肿瘤已侵犯甲状腺、食管等邻近器官,伴颈部淋巴结转移,不适合手术。随后,张先生参与了晚期头颈部肿瘤同期放化疗靶向增敏临床试验。经35次精准放疗及同步化疗,肿瘤和转移淋巴结明显缩小。
  之后病情出现了进展,2023年12月复查时发现肺部有新发小结节,考虑远处转移。医疗团队迅速调整方案,先采用免疫联合靶向治疗,随后又定制了“口服化疗+靶向+免疫”的维持方案。
  从2024年4月至今,张先生坚持治疗,体重较前增加5公斤,状态明显好转,随访检查提示病灶趋于稳定,无明显不良反应。
  张先生的治疗过程,体现了在晚期下咽癌治疗中的精准评估、灵活调整方案的能力,也展现了医疗团队的专业水平与协作精神。未来,福建省肿瘤医院鼻咽癌诊治中心将持续推动个体化精准治疗,深化以患者为中心的多学科协作机制,为更多复杂、难治的头颈部肿瘤患者提供希望与生命支持。
  福建省肿瘤医院肿瘤放疗科鼻咽癌学科群是福建省规模最大的头颈临床专科放射治疗学科群,是国家临床重点专科(肿瘤科)建设项目单位主要学科群之一、福建省特色领先学科,福建省肿瘤医院临床重点专业科室,人才、设备、技术、科研、教学的实力达国内一流水平。开科40年来,科室积极开展鼻咽癌诊治科学研究,积极开展诊疗的各项新技术,使得鼻咽癌的疗效得到大幅提高。现设2个专科病区,110余张床位,拥有一支技术力量雄厚、临床经验丰富的专家队伍,共有主任医师9名(二级主任医师4名),副主任医师10名,博士生导师3名,硕士生导师6名,福建省高层次人才7名,享受国务院政府特殊津贴专家2人。目前,年接诊鼻咽癌病例约1000例,承担了全省约一半的鼻咽癌患者的放射治疗任务。
  (来源:海峡都市报)
附件下载:
相关文档